Flachner Balázs
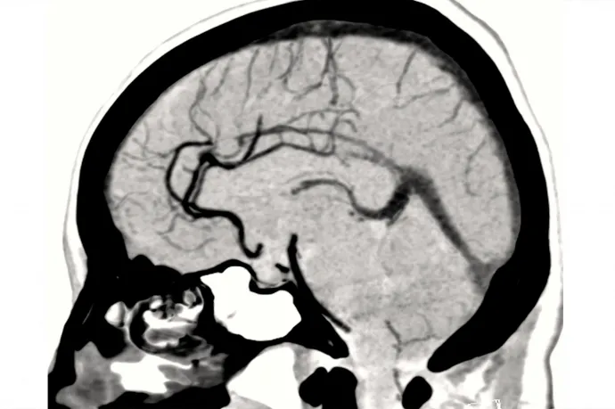
Egy kutatócsoport rájött, hogy mi a közös az emberi agyban és a részvénypiacban
Az, hogy ha beüt a krach, ugyanúgy reagálnak, és ezt a hétköznapi fizikából lehet levezetni.
Izrael a háború miatt pörgette csúcsra az MI-alapú megfigyelést, de békeidőben is érdemes lesz...
Nemcsak Izraelben, hanem a világon mindenhol, mert az elmúlt időszakban már Amerikában is látszott, hogy mennyire kiterjedt megfigyelést tesznek lehetővé a mesterséges intelligenciára épülő...
Oroszország gigantikus dezinformációs hálózata a mesterséges intelligenciát is megfertőzi
Egy évek óta létező orosz hálózat évente több millió cikket termel mindenféle nyelveken, ennyi álhír pedig már a nagy nyelvi modelleket is képes befolyásolni.
Virágillatú gombából csinált rendkívül hatékony szúnyogirtót egy kutatócsoport
Az általuk létrehozott, halálos parfümként működő gomba a laboratóriumi kísérletekben akár a szúnyogok 100 százalékával is képes volt végezni.
A Battlefield visszatért, és legalább olyan jó, mint fénykorában
A Battlefield 6 feladta a leckét a Call of Dutynak, és megmutatta, hogy a sikerhez még mindig csak annyi kell, hogy a stúdiók a felesleges újítások helyett elővegyék azokat a dolgokat, amiket a...
Nemrég még csak drogdílernek nevezte, most szankciókat vetett ki Trump a kolumbiai elnökre
Gustavo Petro szerint teljes paradoxon, hogy miután évtizedekig harcolt a drogcsempészet ellen, az az ország szankcionálja, ami a legtöbbet profitált ebből.
Leállítják a reklámot, amin Trump úgy kiakadt, hogy megszakította a kereskedelmi tárgyalásokat...
Ontario miniszterelnöke bejelentette, hogy hétfőtől nem lesz adásban a vámellenes reklám.
A Békemeneten adott interjút Orbán Viktor anyja, szerinte nem normális, aki kitalálta a zebrákat
Sípos Erzsébet beszélt Hatvanpusztáról, a zebrákról, Orbán Viktorról és azt is felidézte, hogy hogyan került Orbán Győzőhöz a gánti kőbánya.
Hajtóvadászatot indított a brit rendőrség, miután véletlenül szabadon engedtek egy elítélt...
Az etióp férfit egy másik fogdába kellett volna átvinni a kitoloncolása előtt, ehelyett most nagy erőkkel keresik.
Beidézte a rendőrség a Pécs Pride szervezőjét, gyanúsítottként fogják kihallgatni
Jövő kedden kell megjelennie, az Amnesty tüntetést szervezett a rendőrkapitányság elé.








